
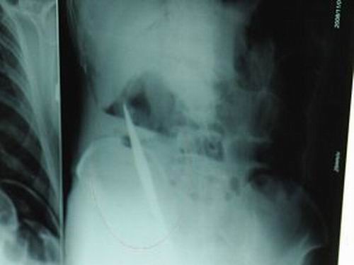
X光片上,尖刀清晰可见。

从男子体内取出的尖刀足足有19厘米长。
江苏铜山一58岁男子因服毒被送到医院抢救,可医生采取抢救措施后却发现效果不佳。后来经细致检查,医生有了个惊人的发现,该男子的体内竟然有一把尖刀,医生通过手术将位于其腹部右侧横结肠下缘的尖刀取了出来。这把尖刀足足有19厘米长!据医生推测,这把刀应该是从肛门推进体内的,不知男子为何想以如此残酷的方式结束自己生命。由于抢救及时,该男子已暂时脱离危险。
昨天(11月6日)上午,记者在徐州矿务集团总医院重症监护室见到了这名男子,目前他虽然已经恢复了意识,但还不能开口说话,需要呼吸机辅助呼吸。据医生介绍,4日中午12时左右,这名男子因服毒轻生被紧急送到医院进行抢救,之前,这名男子已经在当地乡镇医院进行了近20小时的治疗,但效果不佳。“病人被转院到矿总院时已神志不清,血压极低,处于休克状态。”救护人员给男子洗胃、初步处理以后,发现男子呼吸急促,于是赶紧给他拍片检查。结果让所有的医生大吃一惊,竟有一把尖状异物横在该男子腹腔内!当天下午5时30分,轻生男子被推上了手术台。经过40多分钟的手术,该男子腹腔被打开,手术医生发现,男子体内的金属状异物竟然是一把长19厘米的尖刀!
医生告诉记者,手术后,医生在病人身上并未发现刀痕,最后,经过检查发现,在该男子直肠处找到穿孔。医生从医学角度分析后认为,这把尖刀应该是从肛门插入直肠的。
医生告诉记者,因为病人抢救及时,尖刀并未伤及要害,所以暂时保住了性命,但后期可能会出现腹腔感染、AIDS、器官衰竭等多种并发症。
该男子的侄子告诉记者,轻生者姓刘,妻子已经出走十多年了,有个80多岁的老母和一个正在上初二的儿子。平时刘某生活十分贫困,妻儿又不在身边,而且长期患有胆囊炎,可能是觉得生活无望,一时想不开而轻生的。据了解,目前该男子的手术费用已高达数万元,目前全靠其侄子帮他四处借钱筹款。 (东巍 泰松 小川)
内地一线女星床戏盘点 |
韩国女星上位的潜规则 |
巩俐"裸替"秀性感身材 |
敢当面骂毛泽东的女人 |
![]() 少女交友不慎 色诱敲诈10万元 |
![]() 因家人反对男子街头劫持女友 |
![]() 学生军训猝死 学校判赔9万 |