

环球网4月2日报道 据《每日邮报》报道,上个月,南非大牛蛙布鲁莱的右小腿被邻居家的一只狗咬到,导致粉碎性骨折,现在经过2个小时的手术,它的断腿已经被接上,它也因此成为有史以来第一只通过外科手术用钢针接上断腿的青蛙。
布鲁莱的主人,居住在南非约翰内斯堡附近的62岁的安妮·米恩斯说:“我对这只青蛙如此关心,人们一定认为我疯了,但是我无法眼睁睁看着它那么痛苦。青蛙因其灵活的腿脚而著称,一想到布鲁莱的腿里要留下一个薄金属片,我就感到心痛。然而我知道,如果不进行手术,布鲁莱以后就没办法动弹了。因此我匆匆赶到兽医那里,央求他给这只可怜的青蛙动手术。这位兽医整天救助小猫小狗,他很难理解为什么我这么担心一只青蛙,但是最终他还是答应了给布鲁莱做手术。手术后是几个小时的焦急等待,我们希望它能快快苏醒过来。不过现在它的伤口已经愈合,又能在花园里跳来跳去了。X光照射显示,它会恢复的跟以前一样。”
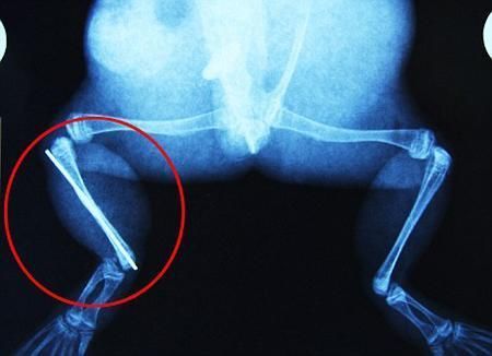
野生生物专家安妮经常为学校写教材,她认为这是人类第一次通过手术给一只青蛙接断腿。在手术开始阶段,兽医把少量给狗用的麻醉药注入到这只青蛙体内,让它失去知觉。然后他在布鲁莱的断腿上切开一个小口,把一根小钢针植入腿里。最后兽医给它缝了9针,把切口缝合在一起。仅仅几周后,布鲁莱就能在安妮家附近活动了。这只青蛙大约已有25岁,主要以啮齿动物、蛇和其他青蛙为食。布鲁莱所属的牛蛙种群正在不断减小,目前只能在非洲南部的湿地里才能看到这种青蛙。
安妮有2个孩子,她已经从事20多年两栖动物保护工作。她认为邻居家的狗狗在把布鲁莱从地下刨出来的时候,它正在地下冬眠、她说:“世界上只有这个地区能看到这种牛蛙,这种青蛙现在变得越来越稀少。因为我从事野生生物保护工作,因此认识很多两栖动物专家,但是以前他们谁也没见过这种事情。看到布鲁莱越来越健康我非常开心。现在还需要一段时间,它的金属腿和它的骨骼才能融为一体,那时布鲁莱会跟以前一样健康。我们认为这个过程需要几周时间,但是一旦它完全康复,我希望把它放归大自然,让它重新回到它最钟爱的湿地里。”

Copyright ©1999-2026 chinanews.com. All Rights Reserved