
中新网3月20日电 据台湾《联合报》报道,桃园县一女子因受不了9个月大外甥女频频哭闹,将两根长达5厘米缝衣针刺进女娃左大腿,还拿苍蝇拍猛打她背部造成瘀青,昨天被桃园法院判处8个月徒刑,缓刑3年,需到指定公益团体或小区提供60小时义务劳务。
判决书指出,该女子去年照顾年仅9个月大外甥女,因外甥女哭闹不停,情绪失控下拿家中缝衣针两根,连刺入女娃左大腿内侧,完全没入皮下组织。
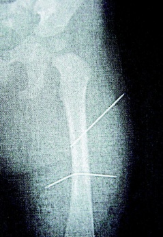
隔月27日,该女子又见外甥女哭闹不停,拿苍蝇拍朝着外甥女背部连打数十下,造成女娃背部瘀伤。经女娃母亲发现后送医救护,院方为女童进行X光片照射后,才发现女娃左大腿里竟有两根缝衣针。
承审法官认定,该女子犯后坦承不讳并和被害人家属和解,因此给予缓刑,并透过义务劳务加以辅导。
