8岁男孩受伤左半脑被切除 术后说话走路毫无障碍(图)

半脑人
颅内出血切除左脑 说话走路毫无障碍
贵州省桐梓市的8岁男孩松松(化名)只有半个大脑,说话走路毫无障碍。8年前,他刚出生不久,大脑不慎受伤,癫痫频发。3年前,他来到新桥医院切除左半脑。近日,他回到医院进行复查,已经完全康复,可以正常生活。
8年前摔倒变重伤
2007年,松松满月时,妈妈抱着不慎摔倒,头上鼓起了一个大包,父母当时并没太在意。十多天后,父母发现松松神情不对,带他前往医院检查,发现他颅内出血,后转到上级医院,诊断结果是外伤继发性癫痫。
经过多年药物治疗,松松学会了说话和走路,但神情看上去要比其他小朋友呆滞,说话也较含糊,还会时不时抽搐,轻则右手抬高抽一下,重则直接倒地抽筋打滚,每天要发作十余次,去幼儿园报名上学也被拒之门外。
左脑切除恢复正常
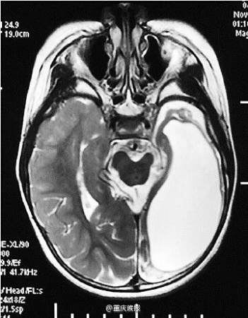
2012年底,父母带着松松前往第三军医大学新桥医院全军癫痫诊治中心就诊,发现他的左侧大脑组织几乎完全软化,左侧脑室已经没有正常的脑组织。医生为松松进行头部脑电图检查时还发现,左侧大脑位置有异常的脑电波。
新桥医院外科主任杨辉教授介绍,专家们判断松松左侧大脑功能几乎完全丧失,而且左半球大脑发出的异常脑电波还干扰了右侧大脑功能,影响说话和行动。医生随即将其左侧的大脑半球完整切除。
前几天,松松回到新桥医院进行术后检查。重庆晚报记者看到,他已经能与为他做手术的医生交流互动,走路也与正常小朋友没有太大差别,还能小跑。今年9月,松松就能上小学一年级了。
左脑功能右脑承担
左脑对运动和语言功能起着很大作用,但没了左脑的松松,为什么还能正常走路说话?新桥医院神经外科全军癫痫中心副主任刘仕勇说,这是大脑的代偿功能在起作用。
刘仕勇介绍,临床上将松松这样的病例称为“半脑人”。正常来说,大脑左半球的运动和语言功能区相对于右功能区更具优势,所以一般人都是右手更灵活。松松的左侧大脑因为外伤,发育受到抑制,但其右侧大脑发挥了很强的代偿功能,承担了通常该由左侧大脑肩负的语言和运动等功能。
大脑部分切除最好5岁前
据了解,切除大脑半球后,能正常说话和运动的病例多发生在婴幼儿时期。刘仕勇解释,婴幼儿时期,大脑组织未完全发育成熟,当一半功能受损后,另一半脑组织才会在发育中发挥代偿作用。该手术的最佳时间是5岁前,年龄越小,效果越好。
刘仕勇说,成年人的大脑已不会继续发育,在部分切除后,可能意味着瘫痪,甚至死亡。
刘仕勇说,在日常生活中,很多人是右撇子,但为了锻炼自己的右脑,会刻意地用左手写字、握筷吃饭,这就是代偿大脑训练的方式。
(记者 邹渝 见习记者 涂佳 摄影报道)
>地方新闻精选:





















