

昨天,浙江省针灸推拿医院副院长范炳华坐诊推拿科,一天30个专家号早上9点前就挂完了,陆续来了十几位病人要求加号。
第5位病人是16岁的高一女生。她说自己平时老是头昏,扭扭腰脊椎“咔咔”响,坐5分钟就痛得厉害。范医师按按小姑娘的脊椎,按到背中心,小姑娘叫了起来,“哎呦,就是这里痛。”范医师说,她可能是脊柱侧弯。
拍了X光片,果然是。“我写字老是侧着坐,还跷二郎腿。”小姑娘说。
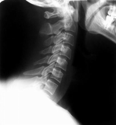
第7位病人是高三男生,他说自己脖子不舒服。范医师摸了摸,“你的颈椎反弓了。”一个早上的门诊看下来,40多位病人里,脊柱侧弯、颈椎反弓的病人有30多位。
范医师说:“这两种病都属于脊椎关节紊乱,是脊椎的亚健康状态。得这两种病的人范围很广,从十一二岁的小学生到60多岁的老人都有,大都是伏案工作的人。”这两种病是坐姿不良引起的。
2007年,杭州市中医院做了调查,杭州市区的7138位中小学生中有4.63%的学生脊柱侧弯。得了这两种病,人会觉得疲劳、胸闷、头晕,引发脖子、腰部疼痛,严重时挤压神经,导致手脚麻木、反应迟钝。
颈椎反弓的病人,平时不要长时间低头,每隔30分钟做颈部的米字操(朝前后左右等8个方向伸展);多走路,最好是倒走;枕头不要垫在脑袋下面,而要垫在脖子下,保持颈部弯度。
脊柱侧弯的病人,看书写字时要坐端正,椅子不要太低;不要背单肩包;多做仰卧起坐,锻炼腰腹部肌肉和拉伸脊椎。
从侧面看,颈椎的部分向前弯曲,呈反括号状,如果颈椎的弧度消失或呈正括号状,就是颈椎反弓。人的脊柱由30多节椎骨组成,从正面看,脊柱是一条笔直的粗线,如果脊柱向左向右弯曲,不是一条直线,就是脊柱侧弯。(王真)
