
我们在电影里看到过这样的情节:浪漫的男主人公在烛光晚餐前把戒指藏在蛋糕里,当女主人公发现戒指时马上跪下向其求婚。据英国《每日邮报》3月5日报道,美国新墨西哥州的小伙里德·哈里斯也希望给20岁的学生女友凯特琳·惠普尔这样一份“甜蜜的惊喜”,却不料出现了意外。
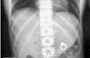
哈里斯当时和凯特琳还有一帮好友在餐厅吃饭,并偷偷把戒指放到了女友点的奶昔中,然后躲在一边希望拍下她发现戒指时的反应。不过凯特琳一时兴起,和女伴比起了看谁先吃完甜点,竟然毫无察觉地把整杯奶昔一饮而尽。哈里斯这下慌了神,急忙告诉女友奶昔里有戒指,可是凯特琳怎么都吐不出来。两个人只好赶往医院,X光片证实,凯特琳的确把戒指吞到了胃里。
原本浪漫温馨的求婚计划眼看就要泡汤,哈里斯灵机一动,在医院拿着X光片对着凯特琳跪了下来,并说出了那句练习了很久的话:“你愿意嫁给我吗?”幸运的是,女友答应了。
凯特琳后来在接受采访时表示,自己当时一点也没有生气,觉得整件事情非常好笑。当哈里斯在餐厅慌慌张张告诉她自己干的“好事”时,她还以为男友在跟她开玩笑。凯特琳说:“我简直不敢相信,我还在纳闷他怎么还不跪下来求婚……一点都没觉察到奶昔里有枚戒指。”不过,哈里斯辩解说:“那可不是枚小戒指。”
在吞戒指事件后第3天,凯特琳将戒指排出。她在自己的博客上写道:“戒指今天上午出现了,我从来没这么兴奋过。戒指很漂亮,我非常喜欢。为此等待2天是值得的。” 据悉,在经历这么一场令人哭笑不得的风波后,哈里斯跟凯特琳已经决定在今年6月举行婚礼。(董玮)来源:现代快报
