姑娘豪饮啤酒 牙签吞进肚刺破肠子(图)
参与互动(0)
昨天上午,金华广福医院门诊候诊室里,25岁的小陈蜷缩着蹲在椅子旁。她双手紧紧按住肚子,脸色惨白。
她几乎是半蹲着挪进了就诊室,虽然有妈妈扶着。
“我女儿肚子痛了三天了,也不知道怎么了?”小陈妈妈很是着急,她说,这几天来,发作起来,小陈只要一平躺,疼痛就会加剧,只有把一半身体垫高,才会稍微舒服点。
接诊的消化内科吴医生安排小陈做了胃镜和B超检查,可是啥也查不出,大家都有些急了。
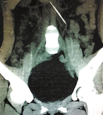
后来,医生又给小陈做了个三维CT,片子一出来,所有人都呆住了——小陈的肠子里,有一根牙签,长约五六厘米。
医生说,吞戒指、打火机的都见到过,吞牙签的还是头一回碰见。
牙签一半插在肠子里,另一半插在十二指肠里,已经戳破了十二指肠壁。
医生说,人体胆、胰的消化液都是通过十二指肠排出的,十二指肠破了,容易引起感染,导致腹膜炎等。
幸亏发现得及时,要不然拖得久一点,搞不好小陈的性命都不保。医生赶紧给小陈安排了手术,把这根坑人的牙签给取了出来。
大家都很纳闷,好端端的,怎么会把牙签给吞进去了。
躺在病床上的小陈想了很久,突然恍然大悟,“哎呀!估计是吹瓶的时候没注意。”
原来,三天前,小陈的好朋友过生日,在一家饭店庆祝,酒足饭饱后,大家意犹未尽,又去了KTV。
大家玩的很尽兴,有人就提议吹瓶,还要把一根牙签放到酒瓶里,喝完后,嘴巴里要含着牙签,这样才算赢了。
“可能我当天喝得有点多了,不记得牙签的事,就这么直接吞下去了。”小陈说。
吴医生推断,当时小陈喝酒喝得太急,一口气灌进去,这牙签就完整地通过喉咙,最终卡在了肠子里。(通讯员 朱小燕 记者 侯明明)
>社会新闻精选:




















