七旬老人嘴叼钉子干活 突然咳嗽将其吸入肺部(图)
参与互动(0)

“老人刚到的时候出现了刺激性的剧烈咳嗽,还有些气短。”提起那名受伤的老人,北京朝阳医院呼吸科医生王晓娟说道。10月26日,怀柔区的一位七旬老人嘴里叼着一颗钉子钉门牌号,突然忍不住咳嗽,把钉子吸入了肺部,导致受伤。
昨天记者了解到,受伤老人已于10月28日下午出院。
事件 钉子吸入肺 老人受伤
昨天下午,记者来到朝阳医院,得知当事人白先生已于10月28日下午出院,呼吸科的医生王晓娟对此事还记忆犹新。
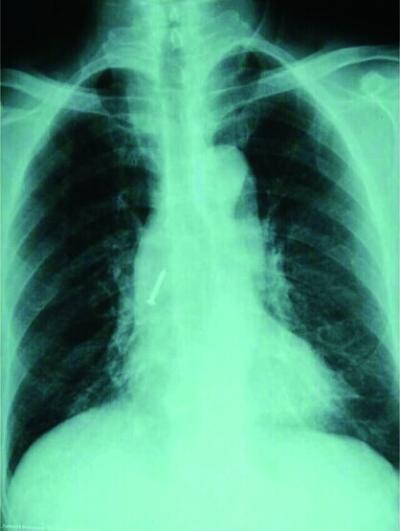
据介绍,10月26日下午,白先生的家人带着他赶到医院看急诊。医生给白先生做了CT后,发现有一颗钉子卡在了他右肺的中间段支气管里,钉子大头朝下,尖端直指纵膈。
“病人属于高龄,已经72岁,住院后我们做了检查和评估,最终决定给病人实施呼吸内镜介入手术。”王晓娟说。
钉子是怎么跑到白先生肺部的呢?据他的儿子介绍,10月26日早上,白先生给自家出租房钉门牌号,当时他图方便,把钉子叼在嘴里。就在忙活的时候,白先生突然想要咳嗽,这一咳,把嘴里的钉子吸了进去。
“考虑到是异物进到体内了,便赶紧赶到了城里的大医院。”白先生的儿子说道。
在把白先生送到朝阳医院之后,医生为他进行了手术,在手术过程中遇到了一点困难。“从鼻腔导入气管的冷冻探头将钉子往外拉,拉到主气管时,钉子尖端反复扎到气道壁,如果再继续操作会出现气管损伤。这时换用了异物钳,钳住钉子的尖端往外拉。”医生说,近三厘米长的水泥射钉成功地取了出来,整个过程仅用了十分钟左右的时间。
目前,白先生身体已无大碍。
提醒 不明原因剧烈咳嗽 要及时就医
据王晓娟医生介绍,气道异物在成人里发病率不高,但也有过很多类似的情况,异物各种各样,有骨头、瓜子、假牙、纽扣等等。
王医生提醒广大市民注意,吃东西的时候不要说笑,说笑时容易误吸异物。干活时嘴叼工具的习惯也不好,一不留意工具就容易吸进气道内。
王医生还说,如果出现不明原因的剧烈咳嗽或呼吸道反复感染,应及时就医,检查气道内有无异物。(文/实习生 揭振)
>社会新闻精选:




















