医院回应右肾失踪事件:阅片时发现萎缩的肾脏
参与互动 徐医附院回应男子术后右肾失踪:医院阅片发现萎缩的肾脏
中青在线南京5月6日电(中国青年报·中青在线记者 李超) 据媒体报道,安徽省宿州市民刘永伟在江苏徐州医学院附属医院做了胸腔手术,数月后在多家医院检查均被告知“右肾缺如”。大半年过去,医院都没有给他答案。该报道引发热议。5月5日下午,涉事的徐州医学院附属医院发布声明称该报道中的内容严重失实,术后2次CT复查均显示右肾存在。
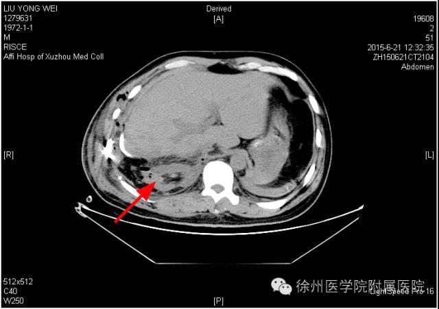
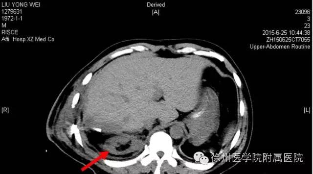
该声明称,患者手术时间是2015年6月20日,术后分别于2015年6月21日(术后第1天)和6月25日(术后第5天)的2次CT复查均显示该患者的右肾存在。
该声明还专门张贴了两张CT复查图。

图一 2015年6月21日(术后第1天)CT,右肾如箭头所示。

图二 2015年6月25日(术后第5天)CT,右肾如箭头所示。
公开资料显示,徐州医学院附属医院创建于1897年,是一所已有100多年历史的省属综合性医院,是苏北地区部颁三级甲等医院之一。
中国青年报·中青在线记者联系徐州医学院附属医院的相关负责人,该负责人表示,昨日,医院放射科主任徐凯院长仔细阅片后,在腹腔的某个角落发现了萎缩的肾脏,血管已经钙化,符合外伤后肾萎缩报告。
该负责人介绍,患者外伤后膈疝合并胸腔感染并伴有右肾挫伤8天入院,急诊手术中发现右侧肾脏、肝脏、肠子都进入胸腔里,感染严重,手术中请泌尿外科会诊后,指示右肾挫裂伤不需要处理,所以原位放回腹腔内,压根没动他的肾脏,术后复查两次CT右肾都在。
该负责人称,患者出院后再次复查CT,医院医生看片子后发现患者右侧肾脏没了,医生告诉病人右肾不见了,随后请泌尿外科会诊,考虑外伤后肾血管损伤后导致肾脏萎缩,医院查了相关文献有过多起类似报道。
据接近患者的知情人士介绍,目前,徐州卫生部门已成立专家组,他们正在等待专家组的最后结果。

















