最新图片 | 国内·社会 | 国际博览 | 娱乐体育 | 时尚魅影 | 军事科技 | 港澳台侨 | 图片专集
你的位置:首页> 图片频道> 高清图
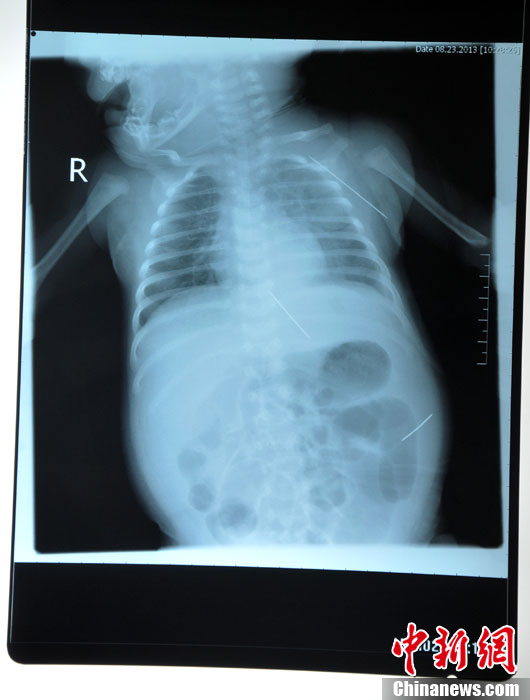
黑龙江被“缝衣针”扎伤女婴手术成功 (3/5)
全屏观看
查看图片列表
查看原图
"← →"翻页
黑龙江被“缝衣针”扎伤女婴手术成功
8月23日,黑龙江被“缝衣针”扎伤女婴在哈尔滨医科大学附属第一医院进行手术,成功取出三根长达4.5厘米的缝衣针,目前患儿正在术后观察中,尚未脱离危险期。图为三根钢针在婴儿体内的各个位置。(哈尔滨医大一院供图)中新社发
发布时间:2013-08-23 19:55:10 【编辑:张龙云】
黑龙江被“缝衣针”扎伤女婴手术成功 返回
分享到: 更多...

我要评论 查看评论(0) 顶() 踩()
编辑推荐

被针扎伤女婴手术成功

图片故事:遗"爱"人间

韩朝在板门店举行会谈

中国军机大连坠毁

关于我们 | About us | 联系我们 | 广告服务 | 供稿服务 | 法律声明 | 招聘信息 | 网站地图 | 留言反馈
本网站所刊载信息,不代表中新社和中新网观点。 刊用本网站稿件,务经书面授权。
未经授权禁止转载、摘编、复制及建立镜像,违者将依法追究法律责任。
[网上传播视听节目许可证(0106168)] [京ICP证040655号] 总机:86-10-87826688